Duodenal aspiration biopsy for diagnosing pancreatic cystic lesions: a four-case series
Highlight box
Key findings
• We developed a novel, minimally invasive method for pancreatic juice collection using the PandiCath® catheter, which can be combined with endoscopic ultrasound (EUS)-fine-needle biopsy (FNB) to improve the accessibility and diagnostic accuracy for pancreatic neoplasms.
What is known and what is new?
• EUS-FNB is commonly used to obtain biomaterial for diagnosing pancreatic neoplasms. However, this approach is often contraindicated or yields insufficient or low-quality samples, leading to suboptimal diagnostic accuracy.
• This study introduces a minimally invasive method for collecting and analyzing pancreatic juice, which improves diagnostic accuracy and expands access to reliable testing.
What is the implication, and what should change now?
• The new method offers a more convenient and reliable approach to diagnosing pancreatic cancer, with the potential to enable earlier and more accurate detection of precancerous lesions.
• Integration of duodenal aspiration biopsy with traditional EUS-FNB should be considered in clinical protocols to enhance the screening, diagnosis and management of pancreatic neoplasms.
Introduction
Background
Endoscopic ultrasound (EUS) combined with fine-needle biopsy (FNB) is regarded as the primary diagnostic approach for patients with pancreatic cystic lesions, considered a risk group for pancreatic cancer (1). Detection of atypical cells, elevation in carcinoembryonic antigen (CEA) levels above 192 ng/mL, and the presence of mutations in genes like KRAS, GNAS, and TP53 in the collected sample are markers of neoplastic rather than benign process in the pancreas, guiding the potential need for surgical intervention (2). However, this diagnostic approach fails to achieve conclusive diagnoses in nearly half of the cases, necessitating repeat examinations and ongoing patient monitoring (1,3). EUS-FNB may not be feasible or reliable in patients with small pancreatic lesions (<10 mm) or those located in anatomically challenging regions of the pancreas (4-6). Additionally, the procedure carries risks of complications such as cystic infection, intracystic bleeding, and potential tumor cell dissemination, limiting its use in some patients (7). Finally, EUS-FNB requires specialized equipment and a high level of expertise from endoscopists, typically available only at high-volume centers, thus restricting access to this diagnostic procedure for many patients. A simpler and less invasive method that addresses these challenges and works alongside standard diagnostic approaches could improve the accessibility and accuracy of pancreatic neoplasm diagnosis.
Rationale and knowledge gap
Pancreatic juice is widely recognized as a uniquely specific substance suitable for a range of diagnostic tests (8-12). However, ongoing challenges remain regarding its collection method, volume, quality, and dilution, leading to inconsistent concentrations of tested markers (8,12). A minimally invasive and simple-to-deploy methodology that allows the collection of large volumes of uncontaminated pancreatic juice without artificial stimulation would address these challenges and could enhance the early detection of pancreatic cancer.
We have developed an effective method of duodenal aspiration biopsy (DAB) involving active aspiration of the mix of pancreatic juice and bile from the lumen of duodenum. Focusing on cases in which standard diagnostic approaches produced inconclusive results or were contraindicated, we aim to demonstrate that DAB is a feasible, minimally invasive diagnostic approach that can complement or replace EUS-FNB in certain cases of pancreatic cystic lesions.
Materials and methods
The DAB uses a novel two-balloon, three-lumen PandiCath® catheter (Figure 1), previously shown as effective in treating acute pancreatitis and intraluminal gastrointestinal (GI) bleeding (13,14).
Deployed intranasally via standard endoscopic techniques, PandiCath® isolates the duodenal segment around the major duodenal papilla. One channel creates controlled negative pressure (60–80 mmHg) to draw out pancreatic juice, while another maintains communication between proximal and distal GI sections, allowing patients to consume liquids during the 2–3-hour procedure and preventing gastric stasis. Unlike secretin-induced methods, this approach stimulates natural secretion without dilution by bicarbonate-rich fluids (8). Up to 300 mL of uncontaminated bile and pancreatic juice can be collected, preserving biomarkers by maintaining inactive enzymes at higher pH. The volume enables multiple analyses and storage for future use. After centrifugation, the solid fraction is used for cytology or genetic testing, and the liquid component for proteomic or biochemical analyses such as CEA measurement.
The cases presented here were managed as part of routine clinical practice at different oncological hospitals and were included non-consecutively. In all cases, lesions with worrisome features (2) were initially detected using contrast-enhanced magnetic resonance imaging (MRI) or computed tomography (CT). However, EUS-guided FNB was either inconclusive or not performed due to the risk of serious complications. Therefore, the decision to utilize DAB was based on the need for additional diagnostic information in situations where EUS-FNB alone was either non-diagnostic or contraindicated. We present this article in accordance with the AME Case Series reporting checklist (available at https://apc.amegroups.com/article/view/10.21037/apc-24-23/rc).
Case presentation
All procedures performed in this study were in accordance with the ethical standards of the institutional and/or national research committee(s) and with the Declaration of Helsinki and its subsequent amendments. Written informed consent was obtained from the patients for the publication of this case series and accompanying images. A copy of the written consent is available for review by the editorial office of this journal.
A comprehensive summary of diagnostic results and subsequent treatment strategies is provided (Table 1).
Table 1
| Patient No. | Sex | Age (years) | Preliminary diagnosis (MRI or CT-based) | EUS/FNB findings | DAB findings | Final diagnosis | Treatment decisions |
|---|---|---|---|---|---|---|---|
| 1 | F | 63 | Pancreatic cancer | EUS: IPMN MD/BD (no FNB performed) | IPMN low malignant potential (CEA, 123.94 ng/mL) | IPMN BD type I | Recommended to continue patient observation due to extremely low malignant potential |
| 2 | M | 60 | Pancreatic cancer | IPMN MD (1st FNB—without cytological abnormalities; 2nd FNB—high grade dysplasia) + biopsy-negative | IPMN high potential (atypical cells; CEA, 303 ng/mL) | IPMN MD type IIIc | Pancreaticoduodenal resection recommended and performed. Invasive carcinoma confirmed |
| 3 | F | 60 | Pancreatic cancer | EUS: IPMN or post-necrotic cyst (no FNB performed) | Post-necrotic cyst (CEA, 52.73 ng/mL) | Post-necrotic cyst | Transgastric stenting of the cyst recommended and performed. Confirmed post-necrotic origin origine of the cyst |
| 4 | F | 75 | IPMN | Multifocal IPMN (no FNB performed) | IPMN high-grade potential (CEA, >1,000 ng/mL) | IPMN MD type III | Total pancreatectomy recommended and performed. Multifocal IPMNs with a high degree of dysplasia confirmed |
BD, branch duct involvement; CEA, cancer embryonic antigen; CT, computed tomography; DAB, duodenal aspiration biopsy; EUS, endoscopic ultrasound; F, female; FNB, fine needle biopsy; IPMN, intraductal papillary mucinous neoplasm; M, male; MD, main duct involvement; MD/BD, involvement of both the main duct and branch ducts; MRI, magnetic resonance imaging.
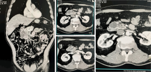
Patient 1, a 63-year-old female, underwent surgery and adjuvant therapy for colon cancer in 2018. In 2020, a cystic lesion measuring 15 mm × 16 mm was detected in the body of the pancreas on a CT scan (Figure 2).
During a routine examination in November 2023, it was discovered that the lesion had increased by 5 mm in each dimension. Due to its proximity to the superior mesenteric artery and the associated risk of vascular injury, percutaneous biopsy and EUS-guided FNB were considered unsafe. However, EUS examination revealed that the lesion corresponded to type 1 intraductal papillary mucinous neoplasm (IPMN-I). DAB was conducted, revealing no atypical cells and a CEA level of 123.94 ng/mL. These findings suggested the lesion had minimal malignant potential, leading to the decision to continue patient observation instead of pursuing distal pancreatic resection initially considered. Twelve months later, a follow-up MRI indicated no clear connection with the main pancreatic duct, as well as absence of lymphadenopathy and signs of contrast accumulation in the lesion.
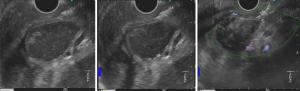
Patient 2, a 60-year-old male, presented with persistent abdominal pain for months, initially managed as chronic pancreatitis. A 36 mm × 43 mm cystic lesion was identified in the pancreatic head via CT and MRI (Figure 3).
Percutaneous biopsy yielded no pathological cells. Subsequent EUS with FNB was performed twice, revealing a hypoechoic lesion measuring 40 mm × 50 mm with hyperechoic walls and solid inclusions, alongside 4 mm dilation of the main pancreatic duct. The first cytological examination of FNB was negative for tumor cells. Due to limited biomaterial, CEA measurements were not conducted initially. Given the inconclusive results from prior tests, DAB was performed, revealing a CEA level of 303 ng/mL and cells with low-grade atypia. This prompted a repeat EUS-FNB procedure, which subsequently detected cells showing high-grade dysplasia consistent with mucinous neoplasia. Despite initial reservations and based on cumulative findings, the decision was made to proceed with pancreaticoduodenal resection. Histological examination confirmed multifocal dysplasia of IPMN of the main pancreatic duct with low and high-grade dysplasia (intestinal type), along with invasive carcinoma, pTis. After 12 months of follow-up, a repeat CT scan showed no signs of progression.
Patient 3, a 60-year-old female, presented with recurrent epigastric pain and was diagnosed with pancreatitis. Imaging with CT and positron emission tomography (PET)-CT suggested an IPMN in the pancreatic head, leading to consideration for pancreaticoduodenal resection. To refine the diagnosis, EUS revealed a 30 mm × 40 mm lesion with increased blood flow, thickened walls, and heterogeneous contents, resembling a post-necrotic pseudocyst (Figure 4).
Due to the patient’s coagulopathy (international normalized ratio 3.4), FNB and percutaneous biopsy was deemed unsafe. Instead, DAB indicated a CEA level of 52.73 ng/mL, suggesting a low likelihood of malignancy. Subsequently, transgastric stenting of the cyst was performed, allowing extraction of debris and purulent material, which confirmed its post-necrotic origin following acute pancreatitis. After 8 months, a repeat CT scan showed no residual cystic cavity, and the stent was therefore removed.
Patient 4, a 75-year-old female, without any clinical manifestations but with a history of chronic pancreatitis and diabetes mellitus. CT and EUS examinations revealed multiple IPMNs resulting in extensive cystic transformation of the pancreatic tissue (Figure 5).
However, it remained unclear which cysts were linked to the main pancreatic duct, complicating the choice of lesions for FNB. Consequently, DAB was performed as an alternative. While no pathological cells were identified, the CEA level exceeded 1,000 ng/mL. Given the connection of the cysts with the main pancreatic duct and the elevated CEA level, a decision was made to proceed with total pancreatectomy. Subsequent histological examination confirmed multifocal IPMNs with a high degree of dysplasia, pTis. After 8 months of follow-up, a CT scan showed no signs of progression.
Discussion
Diagnosing pancreatic cystic lesions remains a substantial clinical challenge. While international guidelines recommend EUS-FNB as the standard diagnostic approach, even in specialized centers FNB often yields inconclusive results or poses procedural risks due to anatomical or patient-specific factors. The limited biomaterial volume obtainable by FNB further restricts diagnostic options.
Key findings
In this case series, we demonstrated that DAB could serve as a feasible alternative or complement to FNB in selected patients. DAB consistently provided sufficient, high-quality samples for cytology and CEA measurement, facilitating clinical decision-making in cases where FNB alone was non-diagnostic or unsafe. Notably, DAB enabled the collection of larger sample volumes, allowing broader laboratory analyses and potentially supporting biomarker discovery efforts.
Strengths and limitations
Our findings confirm that DAB can achieve diagnostic yields comparable to, and in some situations exceeding, those of EUS-FNB. The technique is straightforward, minimally invasive, and can be performed in an outpatient setting with a favorable safety profile. Patients tolerated the procedure well, and sedation requirements were less intensive than for FNB. Nevertheless, potential risks such as duodenal mucosal injury, infection, or sample contamination warrant further evaluation.
Implications and actions needed
These observations suggest that DAB could be integrated into existing diagnostic algorithms as an adjunctive tool when FNB is inconclusive or contraindicated, and potentially as a targeted sampling approach to corroborate findings from imaging or blood based liquid biopsy. However, this study has limitations, including its retrospective design, non-consecutive case inclusion, lack of a control group, and a small sample size, which may limit generalizability. Since 2024, we have initiated a protocol across three inpatient centers focusing on patients with pancreatic cystic neoplasms. The routine application of DAB within this protocol has been implemented alongside the standard EUS-FNB approach, wherever possible (Figure 6), to ensure adherence to the International Consensus Fukuoka Guidelines, 2017 (2).
This combined strategy aims to systematically assess the complementary value of DAB in improving diagnostic confidence, particularly in lesions with worrisome features or high-risk stigmata.
Further prospective studies comparing DAB and FNB in well-defined cohorts are needed to better validate its diagnostic accuracy, safety, and impact on clinical outcomes. Additionally, standardized protocols and consensus on indications will be essential to guide broader adoption.
Conclusions
DAB appears to be a promising addition to the diagnostic armamentarium for pancreatic cystic neoplasms, especially in challenging cases where standard methods are limited. Its utility warrants further investigation to better define its role in routine clinical practice.
Acknowledgments
None.
Footnote
Reporting Checklist: The authors have completed the AME Case Series reporting checklist. Available at https://apc.amegroups.com/article/view/10.21037/apc-24-23/rc
Peer Review File: Available at https://apc.amegroups.com/article/view/10.21037/apc-24-23/prf
Funding: None.
Conflicts of Interest: Both authors have completed the ICMJE uniform disclosure form (available at https://apc.amegroups.com/article/view/10.21037/apc-24-23/coif). Both authors are employed by PANDICA LTD., and report patents WO2024033700, WO2021/137739, and WO2023075634. The authors have no other conflicts of interest to declare.
Ethical Statement: The authors are accountable for all aspects of the work in ensuring that questions related to the accuracy or integrity of any part of the work are appropriately investigated and resolved. All procedures performed in this study were in accordance with the ethical standards of the institutional and/or national research committee(s) and with the Declaration of Helsinki and its subsequent amendments. Written informed consent was obtained from the patients for the publication of this case series and accompanying images. A copy of the written consent is available for review by the editorial office of this journal.
Open Access Statement: This is an Open Access article distributed in accordance with the Creative Commons Attribution-NonCommercial-NoDerivs 4.0 International License (CC BY-NC-ND 4.0), which permits the non-commercial replication and distribution of the article with the strict proviso that no changes or edits are made and the original work is properly cited (including links to both the formal publication through the relevant DOI and the license). See: https://creativecommons.org/licenses/by-nc-nd/4.0/.
References
- Goggins M, Overbeek KA, Brand R, et al. Management of patients with increased risk for familial pancreatic cancer: updated recommendations from the International Cancer of the Pancreas Screening (CAPS) Consortium. Gut 2020;69:7-17. [Crossref] [PubMed]
- Tanaka M, Fernández-Del Castillo C, Kamisawa T, et al. Revisions of international consensus Fukuoka guidelines for the management of IPMN of the pancreas. Pancreatology 2017;17:738-53. [Crossref] [PubMed]
- Zerboni G, Signoretti M, Crippa S, et al. Systematic review and meta-analysis: Prevalence of incidentally detected pancreatic cystic lesions in asymptomatic individuals. Pancreatology 2019;19:2-9. [Crossref] [PubMed]
- Varadarajulu S, Tamhane A, Eloubeidi MA. Yield of EUS-guided FNA of pancreatic masses in the presence or the absence of chronic pancreatitis. Gastrointest Endosc 2005;62:728-53. [Crossref] [PubMed]
- Ngamruengphong S, Xu C, Woodward TA, et al. Risk of gastric or peritoneal recurrence, and long-term outcomes, following pancreatic cancer resection with preoperative endosonographically guided fine needle aspiration. Endoscopy 2013;45:619-26. [Crossref] [PubMed]
- Varadarajulu S, Hasan MK, Bang JY, et al. Endoscopic ultrasound-guided tissue acquisition. Dig Endosc 2014;26:62-9. [Crossref] [PubMed]
- Terasawa H, Matsumoto K, Tanaka T, et al. Cysts or necrotic components in pancreatic ductal adenocarcinoma is associated with the risk of EUS-FNA/B complications including needle tract seeding. Pancreatology 2023;23:988-95. [Crossref] [PubMed]
- Young MR, Wagner PD, Ghosh S, et al. Validation of Biomarkers for Early Detection of Pancreatic Cancer: Summary of The Alliance of Pancreatic Cancer Consortia for Biomarkers for Early Detection Workshop. Pancreas 2018;47:135-41. [Crossref] [PubMed]
- Suenaga M, Yu J, Shindo K, et al. Pancreatic Juice Mutation Concentrations Can Help Predict the Grade of Dysplasia in Patients Undergoing Pancreatic Surveillance. Clin Cancer Res 2018;24:2963-74. [Crossref] [PubMed]
- Yu J, Sadakari Y, Shindo K, et al. Digital next-generation sequencing identifies low-abundance mutations in pancreatic juice samples collected from the duodenum of patients with pancreatic cancer and intraductal papillary mucinous neoplasms. Gut 2017;66:1677-87. [Crossref] [PubMed]
- Levink IJM, Nesteruk K, Visser DI, et al. Optimization of Pancreatic Juice Collection: A First Step Toward Biomarker Discovery and Early Detection of Pancreatic Cancer. Am J Gastroenterol 2020;115:2103-8. [Crossref] [PubMed]
- Sadakari Y, Kanda M, Maitani K, et al. Mutant KRAS and GNAS DNA Concentrations in Secretin-Stimulated Pancreatic Fluid Collected from the Pancreatic Duct and the Duodenal Lumen. Clin Transl Gastroenterol 2014;5:e62. [Crossref] [PubMed]
- Kashintsev AA, Kunda R, Proutski V. Early selective enteral feeding in combination with active decompression of duodenum in treatment of moderate and severe acute pancreatitis - A proof-of-concept clinical study. Pancreatology 2024;24:1012-20. [Crossref] [PubMed]
- Kashintsev AA, Rusanov DS, Antipova MV, et al. Hemostasis of massive bleeding from esophageal tumor: A case report. World J Gastrointest Endosc 2022;14:636-41. [Crossref] [PubMed]
Cite this article as: Kashintsev A, Proutski V. Duodenal aspiration biopsy for diagnosing pancreatic cystic lesions: a four-case series. Ann Pancreat Cancer 2025;8:5.


