Pancreatic adenocarcinoma with metastasis to cervix: a case report of an unusual neoplastic demeanor
Highlight box
Key findings
• Pancreatic adenocarcinoma metastasizing to the uterine cervix is an extremely rare phenomenon. Our case demonstrates how such metastases can clinically mimic primary lesions, posing significant diagnostic challenges.
What is known and what is new?
• Metastases to cervix from extragenital malignancies are uncommon, with pancreatic origin being particularly rare. This case provides new insights into the atypical metastatic pathway of pancreatic cancer and emphasizes the critical role of immunohistochemistry (IHC) in differentiating metastatic disease from primary cervical carcinoma.
What is the implication and what should change now?
• A high index of suspicion is needed in patients with systemic symptoms or atypical imaging findings. Thorough histopathological workup with targeted immunohistochemistry can aid in timely diagnosis and guide appropriate management. Broader awareness of such rare metastatic patterns may influence future diagnostic and therapeutic strategies.
Introduction
Pancreatic cancer ranks as the fifth leading cause of cancer-related mortality globally, with a multifactorial etiology encompassing risk factors such as tobacco smoking, alcoholism, diabetes mellitus, chronic pancreatitis etc. (1). Pancreatic adenocarcinoma is the predominant subtype and commonly spreads to the liver and peritoneum (2). It also frequently invades retroperitoneal spaces, vascular structures, and neural pathways, significantly complicating treatment and worsening the prognosis. This cancer carries a dismal prognosis, with a median survival of 6–10 months in locally advanced cases and 3–6 months in metastatic settings (1).
Metastatic involvement of the uterine cervix is exceedingly rare, with an incidence documented as low as 0.3% (3). This infrequency can be attributed to its small size, fibrotic stromal composition, and limited vascular supply, particularly more pronounced in postmenopausal females (4).
While secondary cervical malignancies typically originate from gynecological sources, sporadic cases arising from extra pelvic sites like stomach, colorectum, breast, urothelium, and pancreas have been reported (2,3). To the best of our knowledge, only three cases of pancreatic adenocarcinoma with metastasis to uterine cervix have been documented to date (5-7). Most often, such presentations are diagnosed at advanced stages or missed entirely due to the atypical clinical manifestations. Here, we present an unusual clinical scenario where a patient presented with gynecologic symptoms that led to the discovery of metastatic pancreatic cancer, emphasizing the need to consider broader differential diagnosis in patients. The case addresses the diagnostic dilemma of distinguishing primary cervical cancer from metastatic disease, underscores the pivotal role of immunohistochemistry in establishing tissue origin, and unveils critical questions regarding optimal management strategies for such rare presentations.
By reporting this case, we contribute to the limited body of literature by outlining the diagnostic pathway, highlighting the importance of considering non-gynecologic primaries in atypical cervical presentations and discussing their therapeutic implications. We present this case in accordance with the CARE reporting checklist (available at https://apc.amegroups.com/article/view/10.21037/apc-25-8/rc).
Case presentation
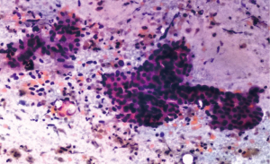
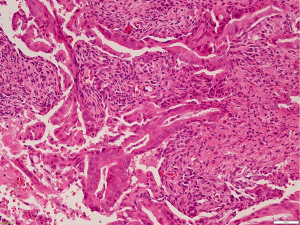
A 62-year-old female presented to gynecology out-patient department (OPD) in March 2025 with complaints of episodic bleeding per vaginum for 6 months (symptoms began around September 2024). It was insidious in onset, gradually progressive and associated with dull pelvic pain and foul-smelling discharge per vaginum. A history of occasional epigastric discomfort with significant weight loss was also elicited. No relevant medical, surgical, family, or personal history was noted. Pelvic examination revealed a 2 cm × 2 cm friable polypoidal growth over the cervical os without parametrial/rectal mucosal involvement. Magnetic resonance imaging (MRI) of the abdomen and pelvis demonstrated an ill-defined soft tissue lesion in the neck & body of pancreas measuring 3.2 cm × 4.2 cm × 3.2 cm, completely encasing the portal, splenic and superior mesenteric veins. Another soft tissue lesion of 2 cm × 2.2 cm × 3 cm was seen in cervical and lower uterine segment without any parametrial extension (Figure 1). Whole body positron emission tomography-computed tomography (PET-CT) scan showed high metabolic activity in the pancreatic and cervical lesions, with no other metabolically active focus elsewhere in the body (Figure 2). Serum carcinoembryonic antigen (CEA) was 22 ng/mL (normal: <3 ng/mL) and carbohydrate antigen 19-9 (CA19-9) was 1,532 U/mL (normal: <35 U/mL). Hemogram and other biochemistry parameters were within normal limits.Endoscopic ultrasound-guided fine needle aspiration cytology from pancreatic mass showed adenocarcinoma with mucinous differentiation (Figure 3). Punch biopsy from cervix was suggestive of adenocarcinoma.
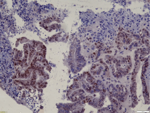
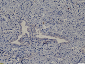
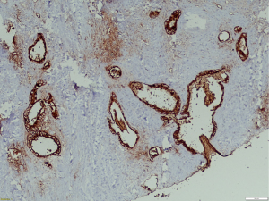
IHC was performed on the cervical biopsy for further characterization. The tumor cells were found to be positive for cytokeratin 7 (CK7), caudal type homeobox 2 (CDX2) and CA19-9, while they were negative for p16, p63 and paired box protein-8 (PAX-8) (Figures 4-7). Based on imaging, histopathology and IHC, the disease was staged as cT4N0M1 (stage IV) according to the American Joint Committee on Cancer (AJCC) 8th edition for pancreatic adenocarcinoma.
The patient was taken up for hemostatic radiotherapy in late March 2025 for symptomatic management of bleeding per vaginum after a multidisciplinary tumor board discussion. A dose of 30 Gy over 10 fractions was given to cervical lesion. Bleeding resolved significantly post-radiotherapy. Subsequently, in early April, the patient started receiving systemic therapy with a combination of gemcitabine (1,000 mg D1 & D8) and cisplatin (40 mg D1 & D8), administered three weekly. She tolerated the chemotherapy well without any significant adverse effects.
Local pelvic examination after 3 cycles of chemotherapy revealed a significant reduction in the size of cervical lesion. MRI abdomen pelvis performed 4 weeks after completion of chemotherapy also demonstrated a significant reduction in size of both cervical and pancreatic lesions as compared to the baseline scan findings. The serum tumor markers were in the declining trend as well (CEA: 12 ng/mL, CA19-9: 765 U/mL). In view of favorable response, the patient was continued on the same chemotherapy regimen. The plan was to monitor the patient with monthly clinical examinations and serum tumor markers, followed by imaging post six cycles. The patient defaulted after receiving five cycles of chemotherapy in July 2025. A graphical timeline of the case evolution is presented in Figure 8.
All procedures performed in this study were in accordance with the ethical standards of the institutional and/or national research committee(s) and with the Declaration of Helsinki and its subsequent amendments. Written informed consent was obtained from the patient for the publication of this case report and accompanying images. A copy of the written consent is available for review by the editorial office of this journal.
Discussion
We report an unusual case of a 62-year-old female with pancreatic adenocarcinoma manifesting as an isolated cervical metastasis with vaginal bleeding and pelvic pain as the chief complaints. Imaging revealed synchronous pancreatic and cervical lesions, and diagnosis was confirmed with IHC analysis on biopsy. The cervical lesion was positive for CK7, CDX2, and CA19-9, and negative for p16, PAX-8 and p63, favoring the diagnosis of a metastatic lesion of pancreatic origin. The patient received palliative radiotherapy to the cervix for symptom management, followed by combination chemotherapy with gemcitabine and cisplatin. A good clinical, radiological and biochemical response was noted with treatment.
To the best of our knowledge, this is only the fourth reported case of pancreatic adenocarcinoma metastasizing to the cervix (Table 1) and among the handful where cervical lesion was the initial presenting feature rather than a late-stage finding. The strength of our case lies in its novelty, comprehensive diagnostic workup and the timely management of this exceptionally rare presentation. We were able to corroborate how non-specific symptoms like vaginal bleeding, which is often attributed to gynecological primaries, may, in rare circumstances, signal a metastatic process from a distant site. The judicious use of IHC markers to differentiate metastatic adenocarcinoma from primary cervical adenocarcinoma further added to diagnostic clarity as well as academic & treatment value. Furthermore, radiotherapy for symptom control followed by systemic chemotherapy likely contributed to favorable response.
Table 1
| Authors | Age, years | Presentation | Diagnostic tools | Treatment | Outcome |
|---|---|---|---|---|---|
| Boysen et al. (1951) | 63 | Vaginal bleeding, abdominal pain | Histology, laparotomy | Surgical excision | Deceased (rapid progression) |
| Kinoshita et al. (2016) | 53 | Vaginal bleeding | CT, IHC | Surgery + chemo | Alive at 10 years post initial diagnosis |
| Hartsough et al. (2019) | 60 | Vaginal bleeding, pelvic mass | PET-CT, IHC | Radiotherapy + chemo | Alive with stable disease |
| Current case (2024) | 62 | Vaginal bleeding, pelvic pain | MRI, PET-CT, EUS-FNAC, IHC | Radiotherapy + chemo | Responding to treatment |
EUS-FNAC, endoscopic ultrasound guided fine needle aspiration cytology; IHC, immunohistochemistry; MRI, magnetic resonance imaging; PET-CT, positron emission tomography-computed tomography.
Apart from the inherent limitation of a single case report, we do recognize that the patient defaulted after five cycles of chemotherapy, hence long-term follow-up and outcomes are unavailable. Additionally, while PET-CT excluded other metastatic sites at presentation, micro-metastatic disease could not be completely ruled out. Moreover, molecular profiling [e.g., microsatellite instability (MSI) or NTRK mutations] was not performed due to logistical reasons, which could have provided additional therapeutic insights under the evolving treatment guidelines.
Among the previously reported cases, outcomes varied. In the case reported by Boysen et al. (7) [1951], the cervical lesion was initially mistaken for a primary cervical carcinoma due to its appearance, leading to delay in accurate diagnosis. The patient experienced rapid progression and died shortly after diagnosis. Kinoshita et al. (5) [2016] reported the case where the patient underwent surgery and chemotherapy, with a good survival for a metastatic disease. Hartsough et al. [2019] (6) managed their patient with radiotherapy and chemotherapy and the patient maintained a stable disease. Our case mirrors the latter in both approach and early treatment response. Unlike the prior reports, in our case, vaginal bleeding was the initial presenting complaint, which led to the diagnosis of a primary pancreatic cancer, a feature not emphasized in prior reports, thereby reinforcing the relevance of our case.
The literature on commonly implicated primary subsites is limited. Turashvili et al. studied 47 patients with cervical metastasis for the non-gynecological primary sites of origin and reported gastrointestinal, mammary and urothelial subsites to be common culprits (3). Among the gastrointestinal sites, 63% were colorectal, 22% appendiceal, 11% gastric and about 3% ileal in origin. Pancreatic origin remains exceptionally rare, with only four (including ours) such cases reported to date (4-7).
Involvement of the uterine cervix through direct extension of extra-genital neoplasia is frequent. However, metastatic carcinoma to the cervix through hematogenous or lymphatic spread from extragenital organs is extremely rare. If present at all, ovaries are the most commonly implicated secondaries (1). Mulvany et al. in their study reviewed approximately six lakh gynecologic cytology cases from cervical lesions and found only 0.011% of metastases originating from a primary in extra-genital regions (8). Many studies have suggested that factors such as fibro-collagenous milieu, scanty vasculature and drainage of pelvic lymphatics away from cervix make it less vulnerable to metastatic seeding (2). Nevertheless, in advanced disease, hematogenous dissemination remains a possible route (4).
McCluggage et al. (4) discussed the subtle distinctions that exist between primary endocervical adenocarcinoma, metastatic focus and adenocarcinoma in situ as possible differentials of a lesion at cervix. Of particular clinical significance is the gastric-type endocervical adenocarcinoma, which is an aggressive variant of mucinous endocervical adenocarcinoma. It is mostly human papillomavirus (HPV) negative and is a masquerade of cervical metastasis (4). They also highlighted discerning features such as deep cervical stromal invasion, the absence of precursor lesions, and sparing of the cervical transformation zone (4,8), which go in favor of a metastatic focus rather than an endocervical primary.
Primary endocervical adenocarcinomas typically demonstrate positivity for p16 and CEA antibodies and negative immunostaining for estrogen (ER) and progesterone receptor (PR) (9). p16 positivity is often a helpful marker in identifying primary cervical carcinoma. It is generally associated with HPV, except the gastric-type endocervical adenocarcinoma variant which has no links to HPV infection. PAX-8 positivity differentiates Mullerian origin gynecological malignancies from metastatic pancreatobiliary and gastrointestinal tumors. It is positive in around 70% of endocervical adenocarcinomas (10). CK7 positivity is observed in tumors of upper gastrointestinal and pancreatico-biliary tract, breast, lungs, endometrium, etc., while cytokeratin 20 (CK20) and CDX2 point toward gastrointestinal and urothelium origin. CA19-9 positivity further favors the pancreatic adenocarcinoma (11). HIK-1083 and mucin 6 (MUC-6) reactivity is seen in gastric-type endocervical adenocarcinoma (6). In our case, the early manifestation of cervical symptoms, in conjunction with elevated serum CA19-9 levels and radiologic evidence of a pancreatic mass, raised clinical suspicion of a pancreatic primary. IHC panel was the most critical aspect of diagnosis and was instrumental in differentiating the metastatic focus at cervix from mucinous HPV-negative endocervical adenocarcinoma, which can mimic metastases. Negative p16 and PAX-8 staining supported an extragenital origin, whereas positivity for CK7, CDX2, and CA19-9 aligned with the pancreaticobiliary lineage.
As far as the treatment of metastatic pancreatic cancer is concerned, systemic chemotherapy is crucial for increasing survival, alleviating symptoms, and improving quality of life. 5-fluorouracil and platinum-based regimens are recommended for patients with good performance status, whereas gemcitabine-based therapy is advised as a first-line treatment for relatively frail patients (11). Molecular profiling is now recommended early in treatment paradigm to use agents such as pembrolizumab and larotrectinib in setting of MSI and positive NTRK fusion, respectively (12). Though resection remains the standard of care for resectable oligometastatic disease, palliative radiotherapy may also be prescribed to alleviate symptoms related to the metastatic site, such as pain or bleeding (13). In our case, after a multidisciplinary discussion, palliative radiotherapy was given first at 30 Gy/10 fractions for symptomatic management of vaginal bleeding. Subsequently, based on performance status and extent of disease, the patient was started on Gemcitabine and Cisplatin-based chemotherapy.
Conclusions
Metastatic involvement of the cervix from an extragenital primary is a unique entity with a grim prognosis. Distinguishing it from primary cervical adenocarcinoma, particularly the gastric-type mucinous subtype, requires a high index of clinical suspicion, histopathological examination and immunohistochemical workup. Treatment involves resection in the absence of widely metastatic disease and tailored systemic chemotherapy based on tumor molecular characteristics and patient performance status. Continued research and clinical vigilance are essential to refine diagnostic approaches and optimize therapeutic outcomes for patients with this complex condition.
Acknowledgments
None.
Footnote
Reporting Checklist: The authors have completed the CARE reporting checklist. Available at https://apc.amegroups.com/article/view/10.21037/apc-25-8/rc
Peer Review File: Available at https://apc.amegroups.com/article/view/10.21037/apc-25-8/prf
Funding: None.
Conflicts of Interest: All authors have completed the ICMJE uniform disclosure form (available at https://apc.amegroups.com/article/view/10.21037/apc-25-8/coif). The authors have no conflicts of interest to declare.
Ethical Statement: The authors are accountable for all aspects of the work in ensuring that questions related to the accuracy or integrity of any part of the work are appropriately investigated and resolved. All procedures performed in this study were in accordance with the ethical standards of the institutional and/or national research committee(s) and with the Declaration of Helsinki and its subsequent amendments. Written informed consent was obtained from the patient for the publication of this case report and accompanying images. A copy of the written consent is available for review by the editorial office of this journal.
Open Access Statement: This is an Open Access article distributed in accordance with the Creative Commons Attribution-NonCommercial-NoDerivs 4.0 International License (CC BY-NC-ND 4.0), which permits the non-commercial replication and distribution of the article with the strict proviso that no changes or edits are made and the original work is properly cited (including links to both the formal publication through the relevant DOI and the license). See: https://creativecommons.org/licenses/by-nc-nd/4.0/.
References
- Mazur MT, Hsueh S, Gersell DJ. Metastases to the female genital tract. Analysis of 325 cases. Cancer 1984;53:1978-84. [Crossref] [PubMed]
- Daw E. Extragenital adenocarcinoma metastatic to the cervix uteri. Am J Obstet Gynecol 1972;114:1104-5. [Crossref] [PubMed]
- Turashvili G, Samore WR, Oliva E, et al. Secondary Involvement of the Uterine Cervix by Nongynecologic Neoplasms: A Detailed Clinicopathologic Analysis. Am J Surg Pathol 2020;44:1699-711. [Crossref] [PubMed]
- McCluggage WG, Hurrell DP, Kennedy K. Metastatic carcinomas in the cervix mimicking primary cervical adenocarcinoma and adenocarcinoma in situ: report of a series of cases. Am J Surg Pathol 2010;34:735-41. [Crossref] [PubMed]
- Kinoshita Y, Yoshizawa K, Yuri T, et al. Endocervical metastasis of pancreatic cancer: a rare case report of long-term survival. Human Pathology: Case Reports 2016;5:34-8.
- Hartsough EM, Erickson BK, Chauhan A, et al. Isolated metastatic pancreatic adenocarcinoma to the uterine cervix: A case report. Gynecol Oncol Rep 2019;29:61-3. [Crossref] [PubMed]
- Boysen TH, McCloskey JF, Scheffey LC. Carcinoma of the pancreas with metastasis to the cervix uteri. Am J Obstet Gynecol 1951;61:923-6. [Crossref] [PubMed]
- Mulvany NJ, Nirenberg A, Oster AG. Non-primary cervical adenocarcinomas. Pathology 1996;28:293-7. [Crossref] [PubMed]
- Park KJ, Kiyokawa T, Soslow RA, et al. Unusual endocervical adenocarcinomas: an immunohistochemical analysis with molecular detection of human papillomavirus. Am J Surg Pathol 2011;35:633-46. [Crossref] [PubMed]
- Wong S, Hong W, Hui P, et al. Comprehensive Analysis of PAX8 Expression in Epithelial Malignancies of the Uterine Cervix. Int J Gynecol Pathol 2017;36:101-6. [Crossref] [PubMed]
- Kojima A, Mikami Y, Sudo T, et al. Gastric morphology and immunophenotype predict poor outcome in mucinous adenocarcinoma of the uterine cervix. Am J Surg Pathol 2007;31:664-72. [Crossref] [PubMed]
- Pajewska M, Partyka O, Czerw A, et al. Management of Metastatic Pancreatic Cancer-Comparison of Global Guidelines over the Last 5 Years. Cancers (Basel) 2023;15:4400. [Crossref] [PubMed]
- Hernández-Blanquisett A, Quintero-Carreño V, Martínez-Ávila MC, et al. Metastatic Pancreatic Cancer: Where Are We? Oncol Rev 2023;17:11364. [Crossref] [PubMed]
Cite this article as: Miglani S, Daljit T, Arora S, Goyal S, Rathi AK. Pancreatic adenocarcinoma with metastasis to cervix: a case report of an unusual neoplastic demeanor. Ann Pancreat Cancer 2025;8:14.

